Cirugía Refractiva
La Refracción Ocular
La Refracción es el fenómeno físico por el cual la luz cambia de dirección al pasar de un medio a otro; por ello un lente con su forma y poder es capaz de alterar la dirección de los rayos de luz que provienen del mundo externo y enfocarlos en un punto en la Retina. Le damos el nombre de “Refracción”, a la graduación ocular o medición del estado óptico del ojo, que resulta de la relación entre el poder de refracción de las lentes córnea y cristalino, respecto a la distancia que las separa de la retina.
Se llama Ojo Emétrope el ojo de óptica ideal, en el cual el foco está sobre la retina; como contraparte, Ojo Amétrope aquel que esta desenfocado. En la tecnología del Frente de Onda se habla del Desenfoque para referirse a la distorsión o aberración óptica de Orden Inferior que producen la Miopía, y la Hipermetropía.
Visión Normal
Visión normal de cerca
Visión normal de lejos
Los rayos de luz convergen en la retina
Miopía
La Miopía es un defecto frecuente; el ojo por sus condiciones, adquiere un exceso de poder y la luz se enfoca por delante de la retina en vez de llegar hasta ella. Las personas miopes tienen buena visión de cerca pero los objetos lejanos los ven borrosos y a veces pueden ser indistinguibles. Puede ser hereditaria, se inicia en la infancia y progresa hasta la vida adulta. En la miopía lo más frecuente es que la distancia entre las lentes y la retina sea excesiva: ojo muy largo, aunque en algunos casos puede ser producida por exceso de poder en la córnea o el cristalino.
Visión normal de cerca
Visión borrosa de lejos
Los rayos de luz convergen antes de la retina
Hipermetropía
Todos somos hipermétropes al nacer, pero el ojo alcanza su tamaño normal sobre los 3 años de edad. Las personas hipermétropes tienen buena visión para los objetos que están en la distancia, pero tienen que esforzarse para ver los objetos de cerca. En la hipermetropía el ojo es más pequeño que el promedio, siendo la distancia entre las lentes y la retina: muy corta, con frecuencia también la córnea es más plana o de menor poder. Al ojo por su condición le falta poder y la luz se enfoca por detrás de la retina. Puede ser hereditaria y frecuentemente es causa de estrabismo en los niños que no son tratados.
Visión borrosa de cerca
Visión normal de lejos
Los rayos de luz convergen después de la retina
Astigmatismo
Es un defecto relativamente común. En el ojo con astigmatismo la luz nunca es enfocada como un punto, lo que produce distorsión de la imagen. La mayor causa de astigmatismo es la forma de la córnea, pero también puede ser originado por el cristalino. En el astigmatismo, la forma de la córnea es ovalada, lo que provoca una refracción desigual de los rayos de luz.
Visión borrosa de cerca
Visión borrosa de lejos
Los rayos de luz no convergen en la retina
Presbicia
A medida que pasan los años, el sistema de enfoque del ojo se debilita y nos impide enfocar los objetos próximos. Las personas se dan cuenta de la aparición de la Presbicia cuando no pueden leer el menú en un restaurante o cuando no alcanzan a leer la letra menuda del directorio telefónico. El método de corrección son las gafas para visión de cerca. En la actualidad se están diseñando algunas técnicas con el láser Excimer que permiten en algunas personas mantener una cierta visión cercana, lo que favorece no depender de los anteojos para visión próxima todo el día.
Se refiere a defectos naturales a la óptica del ojo, en general de menor importancia que las ametropías (miopía, hipermetropía y astigmatismo), pero que limitan la calidad óptica del sistema, especialmente en condiciones de baja iluminación.
La medida y el análisis de las aberraciones ópticas de Orden Superior (Aberrometría) específicas de cada ojo, son un nuevo campo en las ciencias de la visión, que está siendo desarrollado con la Tecnología del Frente de Onda.
Diagrama Visión Ideal
Diagrama Visión Aberrada
Topografía Corneal
Uno de los instrumentos más importantes en oftalmología es “ el Queratómetro”: mide el radio de curvatura de la córnea y partiendo de alli, podemos obtener la refracción del globo ocular.
Sabemos que la córnea posee 48,33 dioptrías de poder convergente es decir, es responsable de las 3⁄4 partes del poder refractivo del globo ocular; de ahí la importancia de conocer su configuración, analizar las variaciones de forma que existen de persona a persona, reconocer los cambios que se inducen por una herida o después de cirugía.
1 - Queratografía
2 - Topografía de alto poder
3 - Topografía de bajo poder
Con la difusión de la cirugía refractiva a finales de los años 70 y comienzos de los 80, fué necesario mejorar la metodología clínica existente para medir la superficie anterior de la córnea. Basados en el Queratómetro, se desarrollaron los Fotoqueratoscopios para poder capturar la imágen de los anillos del Disco de Placido reflejados sobre la córnea,pudiendo así, apreciar en forma cualitativa, distorsiones inherentes a una forma de córnea individual; ( foto N° 1)
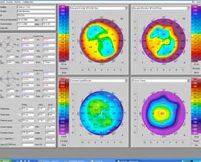
Debido a que clínicamente era necesario poder cuantificar las distorsiones percibidas, se desarrollaron los Videoqueratoscopios que utilizan métodos computarizados para capturar la información de la imágen queratoscópica y reconstruir a partir de ella la superficie anterior de la córnea, graficandola de una manera util y facil de entender para el médico oftalmólogo. Esta técnología es conocida como Topografía Corneal.
Con esta metodología, los poderes altos de la superficie corneal son representados en colores cálidos como el amarillo, naranja y rojo (Foto 2) mientras que las áreas de bajo poder se las representa en colores más frios como el verde y el azul. ( Foto 3), facilitandose así visualización de los efectos de la cirugía refractiva y la comprensión de sus resultados ( Foto 4 y 5)
4 - TCC postop de Incisiones arqueadas
5 - Reconstrucción en Reja de alambre de Foto 4
Esta tecnología ha continuado evolucionando acorde a las necesidades de la practica médica y se diseñaron otro tipo de topógrafos que realizan un barrido con hendidura de luz sobre la córnea con movimiento horizontal o rotatorio y reconstruyen luego digitalmente las imágenes captadas pudiendo de esta manera hacer reconstrucciones tridimensionales que analizan las superficies por Elevación; se conocen como Topógrafos de Elevación. Esta nueva aproximación permite también hacer el análisis de las aberraciones corneales (Foto 7) per se desarrollando las ecuaciones de Zernicke con base a las irregularidades reveladas en los mapas de elevación.
6 - Topografía
7 - Aberraciones Corneales de Foto 6
8 - Hendidura de Rotación
9 - Aberraciones Corneales de Foto 8
Un frente de Onda es una superficie imaginaria, formada por un haz de luz de rayos paralelos que se propaga a través de un medio. Esta superficie será plana si todos los rayos viajan a la misma velocidad; para la teoría electrodinámica se define como “una superficie de igual fase” En el ojo humano sin defectos, esta superficie imaginaria será curva, porque los rayos paralelos tienen que recorrer diferentes distancias y propagarse a velocidades diferentes a través de la óptica del ojo.
La imagen ideal de un haz de rayos puntual, emitido por un objeto que se encuentra ubicado en el espacio, es un punto sobre la retina (mácula). En un ojo sin defectos, sólo los rayos que pasan por el centro de la pupila lo hacen de una forma regular. Los rayos que entran más periféricos al centro de la pupila experimentan desviaciones direccionales, las cuales pueden ser irregulares y asimétricas. El efecto de las desviaciones direccionales sobre la imagen retiniana es llamada Aberración, porque degrada la imagen y limita la agudeza visual.
Las Aberraciones también pueden ser producidas por pequeñas irregularidades del sistema óptico y tener su origen en la córnea, el cristalino, el vítreo y/o la retina.
Hasta el momento actual únicamente dos aberraciones ópticas podían ser corregidas: El Desenfoque (Miopía, Hipermetropía) y el Astigmatismo; aquellas alteraciones que no se podían corregir con anteojos convencionales, se llamaron Aberraciones de Orden Superior
La Tecnología del Frente de Onda originalmente fue desarrollada hace 50 años para la Astronomía; se utilizó para medir las distorsiones del frente de onda de la luz proveniente de la atmósfera a su entrada al telescopio óptico; al desarrollar controles con óptica adaptativa, se logró mejorar la nitidez de las imágenes estelares. La mayor parte de esta tecnología fue desarrollada alrededor de los años 70, en relación con la investigación de los sistemas de defensa antimisiles.
En Oftalmología el término se ha utilizado para todos los conceptos, instrumentos y aplicaciones desarrolladas para seguir la onda luminosa que penetra al globo ocular y medir las distorsiones que presenta en su curso intraocular.
Si desea leer información mas científica y detallada, click aqui...